Before & After Cases

Mr. Amos

Everything at Smile-Shape was incredibly fast, organized, and professional. From the moment I contacted them, the communication was seamless. The treatment was carried out with great precision and completed in the shortest time possible. The results are simply perfect! If you are looking for high-quality treatment and a well-organized experience, I highly recommend this clinic.  

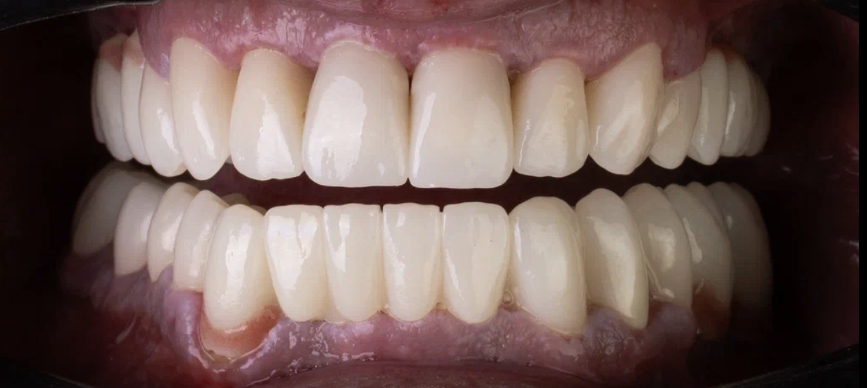
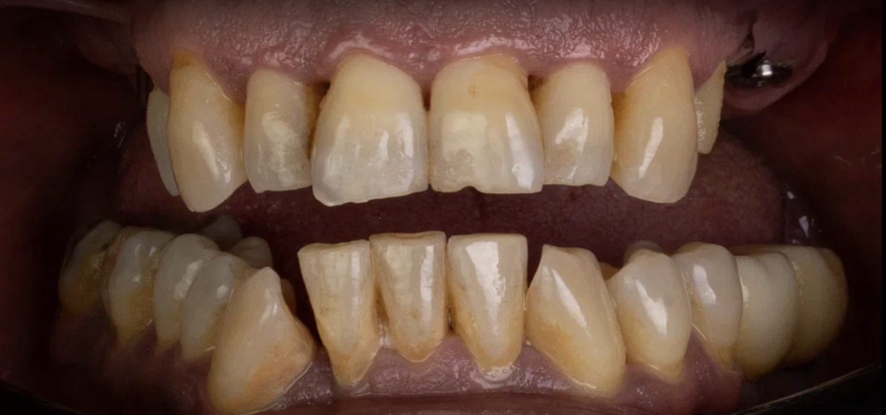
Before After

Mr. Grafi

The care at Smile Shape is unique. You don't feel like a patient; you feel like part of the family. The comfort and confidence they provide is truly unmatched in the dental world.  

Before After

Mrs. Ninette

My treatment at Smile Shape exceeded all my expectations. The meticulous work of the expert team and the warm atmosphere of the clinic made me feel comfortable at every stage. I am extremely pleased with the results—both the technical quality and the care provided were outstanding. I highly recommend them to anyone seeking a perfect smile.

Before After

Mr. Bahar

I had needed dental treatment my whole life, but I always put it off because of my fears. The Smile Shape team welcomed me so warmly that all my worries vanished. Everything was perfectly organized from the initial greeting to the end of the treatment. I realize now that I suffered in vain; contrary to what I thought, the process was calm and comfortable. I am grateful to the entire team for their reassuring approach.

Before After